2213 North Blvd West Davenport, FL 33837
Call Us Today: (407) 706-2470

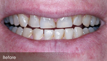
Bite Reclamation

Bite Reclamation

This gives them a closed or shorter look to their face and smile. By opening up their bite, we can reclaim their vertical dimension and sometimes even remove unwanted wrinkles as well. This gives a more youthful appearance and can often eliminate the need for plastic surgery. By realigning the bite a patient will often rectify TMJ problems caused by long term malocclusion (poor bite). This may require full mouth reconstruction involving both upper and lower teeth. A comprehensive treatment plan will be necessary to insure predictability of results.